Urologie und Sexualmedizin
Biopsie
In der Urologie spielt die Biopsie eine entscheidende Rolle bei der Diagnose verschiedener Erkrankungen, insbesondere von Prostatakrebs. Durch die…
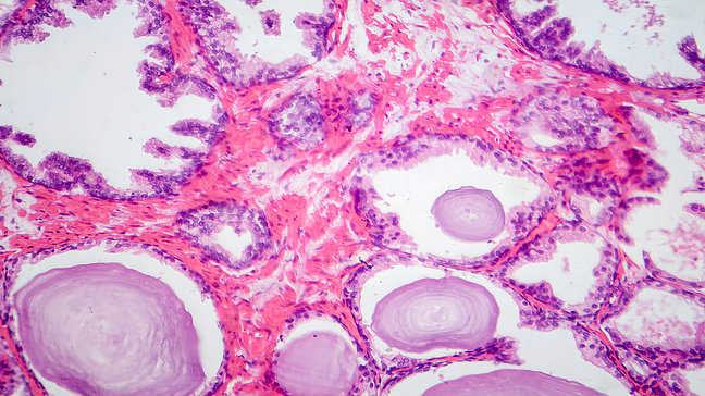
Gutartige Prostatavergrößerung
Die gutartige Prostatavergrößerung, auch als benigne Prostatahyperplasie (BPH) bekannt, ist eine nicht-krebsartige Vergrößerung der Prostata, die vor…
Prostataentzündung
Eine Prostataentzündung, auch als Prostatitis bekannt, ist eine entzündliche Erkrankung der Prostata, die akut oder chronisch verlaufen kann. Diese…
Prostatakarzinom (Prostatakrebs)
Das Prostatakarzinom, auch als Prostatakrebs bekannt, ist eine der häufigsten Krebsarten bei Männern, insbesondere im höheren Alter. Es handelt sich…
Prostatasteine
Prostatasteine, auch als Prostatolithen bezeichnet, sind kleine Ablagerungen oder Kalkansammlungen, die sich in der Prostata bilden. Diese Steine…
